De vez en cuando aparecen casos clínicos que parecen desafiar toda lógica y ponen a prueba hasta a los profesionales más experimentados.
Un ejemplo de ello es lo que vieron en la Universidad Federal de Juiz de Fora, en Brasil, cuando una niña de 11 años apareció en consulta con nada más y nada menos que 81 piezas dentales.
Un caso severo de hiperdoncia
Lo habitual para un ser humano adulto es contar con 32 piezas dentales, por eso asombra que una niña pudiese contar con 81.
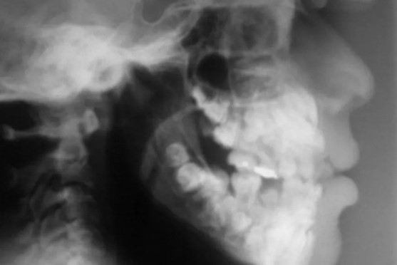
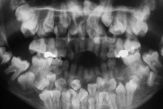
A través de una tomografía computarizada, los especialistas comprobaron que, de estos 81 dientes, 18 eran caducos, 32 permanentes y 31 supernumerarios, los cuales pueden aparecer en cualquier zona de la arcada. La tomografía mostró, además, un claro ramillete de dientes a ambos lados de la boca de la paciente, que se repartían a lo largo y ancho de todo el maxilar superior y la mandíbula.
Esto se conoce como hiperdoncia múltiple, una anomalía que hace que se generen muchas más piezas dentales de las que son habituales en el ser humano adulto.
¿Cómo abordaron los profesionales este caso de hiperdoncia múltiple?
Las hiperdoncias suelen ir asociadas a otras enfermedades o síndromes no necesariamente orales, como pueden ser el labio leporino, paladar hendido, o el síndrome de Gardner.
Para determinar la causa exacta de este caso, la paciente fue sometida a un estudio exhaustivo, durante el que los especialistas definieron el caso como un «auténtico reto clínico» y un «rompecabezas médico y dental».
Una de las pruebas realizadas fue genética, y fue la decisiva. Esta prueba estableció que la niña mostraba una «inversión pericéntrica del cromosoma 9 en p13, q21», por lo que la causa del problema resultó ser, efectivamente, genética.
Para llevar a cabo la compleja intervención, se formó un equipo compuesto no solo por ortodoncistas, sino también por periodoncistas, cirujanos orales y prostodoncistas.
Y es que no se trataba exclusivamente de todos los dientes que debían extraerse, sino de los que había que corregir y todas las alteraciones producidas a tener en cuenta para, finalmente, proporcionar a la paciente las condiciones, tanto fisiológicas como estéticas, adecuadas.
Aunque el caso fue resuelto con éxito años atrás, se ha viralizado recientemente debido al asombro que genera. ¡Y no es para menos!





